歯を抜かない外科的挺出法
このページの目次
残存歯が歯肉と同じか下にある場合の対処②

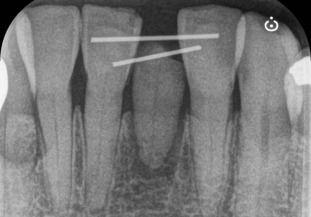
下の前歯が根元から折れてしまった患者さんのレントゲン写真です。黄色丸枠のところが折れてしまった箇所になります。

ここまで残存歯質がない状態であれば、一般的には抜歯をしてインプラントもしくはブリッジなどの治療方法が選択肢になるかと思います。仮にこのままの状態で根管治療を行って保存しても長期的な予後は期待できないでしょう。
歯肉より上に残存歯がないと土台は不安定に
歯肉より上に残存歯がない状態で、歯と被せ物のジョイントの役目を果たす土台(コア)を立てると、脱落の可能性が大幅にあがり、予知性の高い治療ではなくなってしまいます。
この場合、たいていは抜歯してインプラントということを提案されることが多いようですが、当院では、外科的挺出もしくはエクストルージョン治療を行い、フェルール効果を獲得することで、予知性の高い被せ物治療で済ませられる場合があります。

フェルール効果ってなに?
被せ物が根っこの土台部分にのみくっついていると、咬合力がダイレクトに土台のみに伝わり、土台破損や被せ物離脱の原因になります。
予知性の高い被せ物を作る為には、歯の全周が歯肉より上に最低1mm出ていることがとても大切です。この1mmの部分に被せ物がくっついてると、根っこと土台それぞれに咬合力が分散され、それらが起きにくくなります。この力分散をフェルール効果と呼びます。
フェルール効果は、力分散だけでなく、被せ物の脱離と細菌の侵入による感染を防ぐ為に とても重要な条件ともなります。
局所のレントゲン写真により、歯の上の部分は確かに折れてなくなっていますが、根の部分はしっかりと残っていることがわかります。
しかし、根を保存するにしてもフェルール効果を得るためには根の位置を変える必要があります。
一般的に、根を保存する為に必要な健全歯質は、単独で残す場合は10mm程度、連結できる場合は8mm程度だと言われています。
そのことを考慮すると、残っている根は短いですが、負担の比較的かからない下の前歯ということもあり、患者さんと相談した結果、外科的挺出を行い歯の保存を試みることにしました。
外科的挺出治療による「抜歯→インプラント回避治療」スタート
外科的挺出→インプラントの回避のための治療を開始します。
まずは抜歯。抜いて終わりではなく、また戻すので、出来るだけダメージを与えないように慎重に、かつスムーズに患歯の抜歯を行います。
-
すぐにフェルール効果が得られる位置に歯を戻して固定します。 -
術直後のレントゲン写真です。術前のレントゲンを比べると歯の位置が上になっているのがわかります。

術後一週間の状態です。腫れや出血、痛みもなく順調です。
術後2週目から根管治療を行い、根管充填を行った後のレントゲン写真です。
根を引き上げた部分が白くなっており、しっかりと骨が出来ているのがわかります。
(松戸デンタルクリニックでは、歯を抜かないための治療に力を入れており、歯の神経治療である根管治療においては極力マイクロスコープやラバーダム等を使用し、精密に根管治療を行っております。根管治療について詳しくは根管治療ページをご覧ください。)

歯科顕微鏡を用いて精密根管治療を行ったあと、ファイバーコアを立てて、オールセラミッククラウン(被せ物)の作製に入ります。

折れた元々の歯は捻れて生えていたそうです。 上の術前の写真を見て頂くと、両隣の歯と歯の隙間が狭いのがわかりますね。 患者さんと相談した結果、この隙間に合った細い被せ物ではなく、歯の幅をある程度確保する為に捻転した形態の被せ物を作製することにしました。
-
埼玉県の歯科技工士の堀口(デンタルスタジオ 和)氏が作製したオールセラミッククラウンです。 -
自然で美しい見た目、精密な形成、素晴らしい技工術によって作られたクラウン。

口腔内にセットして治療が終了です。一見、保存不可能な歯を外科的挺出という治療方法を用いることにより、「抜歯→インプラント」を回避することが出来て患者さんにも喜んで頂けました。
※ 残存歯質が少ない歯の場合の第一選択は矯正的挺出(エクストルージョン)ですが、今回のケースは前歯で根の形態が複雑ではないことを考慮し、治療期間の短縮を目的として外科的挺出を選択しました。
▼上記症例の患者様データ
| 年齢・性別 | 63歳女性 |
| 治療期間 | 約2か月 |
| 治療回数 | 6回 |
| 治療費 | 約187,000円(税込) |
| 考えられるリスク | 生着しない場合がある。根の長さが短くなることで動揺が出る場合がある。 |
外科的挺出の患者様の感想
前歯が根本から折れてしまい、かかりつけの歯科医院では歯茎に残っている歯根を抜いて、ブリッジまたはインプラントにしなくては治療方法がないと言われた。
しかし、歯茎内に残っている歯根はまったく治療なしの神経も生きているのでなんとしても抜歯は避けたいと思いインターネットで検索の上、貴院を知り受診することにしました。
Q.今までの歯科治療(歯科医院)でどのようなことに悩まされていましたか?
歯槽骨が溶けてないからこの歯はだめだと、すぐ抜歯になってしまったことがあり、何か抜歯せずとも治療はなかったかを調べてみて、やむをえなければ抜歯に至るしかないが、簡単に抜歯になってしまうことに不満!
千葉県松戸で歯を抜きたくない、インプラントを避けたい方へ

松戸デンタルクリニックでは、「できるだけ歯を抜かずに残す治療」に対して徹底的にこだわりをもっております。インプラントにしようと思えばいつでもできますが、抜いた歯は2度ともとには戻らないのです。このように一見、抜歯→インプラントというケースでも、残せる場合がありますし、実際に他歯科医院様で、抜歯してインプラントを勧められたというセカンドオピニオンの患者様の歯を抜かず済んだ場合も多々あります。千葉県松戸でインプラントを避けたい、抜歯しないで歯を残したいという方はぜひ当院へご相談ください。



