歯質の乾燥からの回復
投稿日:2023年2月6日
カテゴリ:治療
以前、歯間離開をコンポジットレジンにて回復したケースをご紹介しました。
その際にラバーダム防湿をしながら処置をした関係で、最終の出来上がりの写真では歯質が乾燥して白くなっていたと思います。
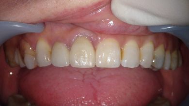
下の写真がそのときの写真です。

処置後10日ほどで再来院して頂いたので写真を撮らせて頂きました。

どうでしょうか。
白く乾燥していた部分が、唾液による湿潤状態に戻ったことで色が落ち着いているのがわかると思います。
このように、ドライな環境で充填したコンポジットレジンと歯質の色がその場では合っていないように見えても、色が落ち着いてくると自然な色合いになります。
逆を言うと、乾燥してしまった歯の色を参考にしてコンポジットレジンの色を選択すると、色が落ち着いたときに色のギャップが…ということになりかねません。
つまり、コンポジットレジンに限らず作製する被せ物の色などを決めるのは来院してすぐ、つまり処置をする前がベストのタイミングということになります。
■ 他の記事を読む■


