歯の移植
投稿日:2019年9月28日
カテゴリ:治療
私は観ていないのですが、最近、テレビで歯牙移植が取り上げられたみたいですね。
テレビを観た方からの移植についての相談が増えています。
そんなこともあり、今日は歯牙移植の症例を通して歯の素晴らしいチカラをご紹介します。

二年弱前にこのブログで紹介した症例です。
左上(レントゲンでは向かって右上)の一番奥が親知らず、その一つ手前の歯が大きく歯質が失われています。
患者さんがまだ若く、親知らずはまだ歯の根っこが完成していないいわゆる”根未完成歯”でした。
サイズもほぼ同じであったので、この親知らずを移植のドナー歯として利用することにしました。

これだけではわかりにくかもしれないので。

赤丸で囲ったのが親知らず。
他の歯と違って、根の先(青い矢印の部分)が閉じていないのがわかるでしょうか。

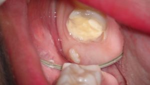
口の中の状態。
頭の一部のみが歯肉から見えていえるのが親知らずです。

予後不良と判断した歯を抜歯して、ドナー歯が収まるように移植床を形成。
簡単に言うと親知らずが入るように抜歯によって空いた穴の大きさを調整したということです。

ドナー歯の親知らずを抜歯して、歯根膜にダメージを与えないようにスムーズに移植先に設置。

移植直後のレントゲン写真です。
一つ後ろにあった親知らずが前に移植されており、CT写真で見たように根の先が開いている(未完成の状態)のがわかると思います。

これが移植から二年弱経過したレントゲン写真。
少しレントゲン写真が綺麗ではありませんが、上のレントゲンと比べると根の先が閉じていて完成してきているのがわかると思います。

一番左側が移植した歯です。
周囲の歯肉もしっかりと歯をホールドしていて、自然ですね。
今回の症例のすごいところは、移植した歯がその移植先で成長を続けたところです。
基本的に歯牙移植を行うと、移植先で根管治療を行うのですが、患者さんが若く根未完成歯だったことでこのような治療方法をとることができました。
■ 他の記事を読む■


